Feugiat nulla facilisis at vero eros et curt accumsan et iusto odio dignissim qui blandit praesent luptatum zzril.
+ (123) 1800-453-1546
info@example.com

Related Posts

Telefone (+351) 252 682 281 (chamada rede fixa nacional)
Email hvanimar@animar.pt

Caso do Herói

Início  /  Casos  /  Caso do Herói

Relatório de Caso

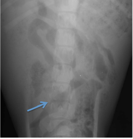
Herói, canídeo Pastor Alemão, macho inteiro de 4 meses, apresentado à consulta por prostração e dificuldade na marcha. Os proprietários reportaram relutância ao movimento associada a dor, fraqueza e prostração que vinha a agravar-se há uma semana. À palpação abdominal era notável algum desconforto. No exame fisico apresentava febre e alteração de postura compatível com dor, o que se designa de cifose. No exame neurológico o Herói apresentava-se alerta, com paraparésia e hipometria dos movimentos dos membros posteriores. À palpação revelava uma atrofia muscular pronunciada dos mesmos e dor lombar acentuada. Exibia atraso na resposta do posicionamento proprioceptivo, na reação de salto e reação extensora de ambos os MP, assim como hiporreflexia no reflexo patelar bilateral. Realizaram- se radiografias à sua coluna que revelaram alterações do contorno vertebral de das vértebras lombares L5 e L6 por erosão da placa terminal caudal de L5 e cranial de L6, sinais de esclerose ligeira das margens ventrais das mesmas vértebras, diminuição ligeira do espaço intervertebral. Tendo em conta a história e achados o diagnóstico presuntivo foi de discoespondilite que acabou por ser confirmado por TAC. O Herói esteve internado mais cinco dias com tratamento e suporte incluindo antibioterapia especifica e teve alta alguns dias depois.

Ligar Agora Ligar Agora